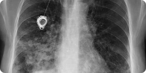
What is a Bard PowerPort?
A PowerPort functions as an implantable venous access device. The device receives placement through skin tissue which doctors typically insert into the upper chest area while connecting it to a thin catheter that enters a big vein. The medical staff can use a particular needle for blood draws and medication administration after the device receives its implantation.
These devices are commonly used for:
- Chemotherapy and cancer treatment support
- Long-term IV medications (like antibiotics)
- Hydration and nutrition support
- Frequent blood draws or transfusions
The implanted port system provides actual benefits to patients who require this medical treatment. The legal cases do not claim that every port facility presents safety risks. The product line faces allegations because it supposedly contains devices which fail unexpectedly while the manufacturer did not provide sufficient warning about these potential risks and because the device construction materials could lead to specific types of equipment breakdowns.
What are the Lawsuits Alleging?
The Mass tort claims against Bard PowerPort devices focus on two main issues which stem from device degradation that leads to port failure during extended use. The system contains elements which will deteriorate until they reach a point where they create dangerous medical emergencies.
Each individual case holds significance in a mass tort legal case. The final results of legal cases emerge from judicial decisions about which question to prioritize between them.
- What model was implanted?
- How long was it in the body?
- What complication occurred?
- What information did imaging or surgical records contain?
The patient needed urgent removal or replacement or required emergency medical assistance.

Reported complications associated with implanted port failures
A device defect does not exist in every situation which results in complications. The system contains multiple failure points which lead to port system shutdowns. The PowerPort litigation centers on various life-threatening patient adverse events which have repeatedly occurred in documented medical cases.
1 Catheter fracture (cracking or breaking)
Users most frequently report catheter fracture as their main issue because the catheter develops cracks which result in multiple broken sections. The system will fail to operate when this happens because it will generate safety risks which endanger users who require urgent medical assistance.
2 Migration (a fragment moves inside the body)
The catheter breaks down into movable parts which enter the bloodstream after its failure. The location of a fragment determines the severity of the situation because medical staff need to perform extra procedures to recover it.
3 Infection
The port enables direct entry to blood vessels which leads to fast progression of infections. The treatment of patients sometimes needs hospital care together with IV antibiotic therapy and removal of their medical device.
4 Blood clots (thrombosis)
Blood clots can form around medical devices placed in veins. The formation of blood clots results in swelling and pain and circulation problems which sometimes need medical intervention for dangerous complications.
Symptoms you shouldn’t ignore
If you currently have an implanted port and you experience new or worsening symptoms, your health comes first. You need to visit your healthcare provider right away for medical assessment when you develop any of these symptoms.
Fever or chills.
The port site area shows signs of inflammation through its redness and warmth and swelling and tenderness and drainage.
Swelling in the arm, neck, or chest on the same side as the port
The following symptoms need immediate medical care because they include chest pain and shortness of breath and dizziness and unusual heart symptoms.
The patient experienced pain during the infusion process and struggled to perform port flushing and required multiple attempts for access.
The symptoms indicate possible infections or blood clotting or they might result from device failure. A medical provider who holds proper qualifications needs to assess the situation before they can establish the required treatment plan.

How a mass tort works (in plain language)
The legal system handles mass tort cases through which numerous people file compensation claims because they experienced the same product defect yet each person has unique circumstances. That means:
- Your medical records matter
- Your injuries matter
- Your timeline matters
The assessment of your damages which includes medical costs and lost work hours and pain and future effects will depend on your specific situation.
The legal process becomes more efficient through mass tort case coordination because all cases share identical evidence and expert testimony and documentation. The court selects particular cases for “bellwether” trials which enable both parties to determine how jurors will react to presented evidence. The approach delivers no particular outcomes but it will reshape both negotiation strategies and legal proceedings.
A Bard PowerPort requires specific information for its claims process.
If you’re considering whether you might have a claim, here are the types of information that often help establish what happened:
The medical evidence needs proof of implantation which can be found in operative reports and device records that show the exact date of implantation.
The report requires inclusion of the following information:
The report needs to include imaging and diagnostic reports which show the catheter position or breakage through X-ray and CT scans.
The notes contain information about the development of complications which included infections and blood clots and device failures and severe pain.
The documentation system tracks all procedures which healthcare providers perform for port removal and replacement and revision procedures.
The port situation has required patients to get hospital treatment before medical staff can perform their evaluations.
Don’t worry if you don’t have everything. Medical records can often be requested, and many law firms help patients gather what’s needed.
What to do next if you believe you were harmed
The following steps present an appropriate method to manage severe medical conditions which might be linked to PowerPort devices.
- Get medical care first: Your first step should be to visit your healthcare provider when you experience any symptoms or have questions about your health.
- Document all available information: Record all relevant information by writing down dates and symptoms and all the medical care you received.
- Keep records if you have them: Discharge papers, imaging summaries, and procedure notes are helpful.
4. Perform a legal review: A mass tort attorney will help you determine if your situation matches the current allegations and describe what steps you need to follow.

Final thoughts
People who receive implanted ports are often already dealing with high-stress, high-stakes medical treatment. The main objective of mass tort proceedings involves determining if medical devices operated correctly and if patients received proper notification about possible dangers.
The receipt of a Bard PowerPort device has led to multiple severe medical issues which include catheter breakage and movement problems and bacterial infections and blood clot formation and the need for surgical catheter removal or revision. A case review helps you identify your possible options which you need to choose between different courses of action for your present situation.